We do not sell CEREC®!!!

We are your mobile dental lab.

We are your CEREC Coach.

CEREC Owners

Coach & Assist

FAQ/Testimonial

Book Appointment

 

Congratulations on taking the first step!!!

 

We all can vividly remember those first few cases that we've tried.  For the Pioneers, there simply wasn't anyone there to hold our hands.

 

How can 1HourTooth be at your service?

 

CEREC Coaching & Assist is a wonderful way to get yourself reacquainted with what your CEREC can offer.  1HourTooth routinely conduct CADcam Basic and CADcam Advance I & II classes.  See CE schedule for detail.

 

Give us a call if any of the following is true:

• Your CEREC unit is sitting in the closet and collecting dust

• You don’t use your CEREC for most of your everyday crown, inlay, and onlay

       cases (on the average, our doctors performs 6 CERECs / week)

• Want to learn to maximize your CEREC investment

• Tired of desinging on your own

• Hiring a new associate

• Want to train a new assistant to design for you

• Looking to upgrade to a new system

• Want to be listed as a preferred member of 1HourTooth Referal Service

• Want to network with other 1HourTooth Dentists

• Want to try out newer equipments

• Looking to sell your CEREC unit

• Want to become one of our coaching menber

 

There are many opportunities where we can be at your service. Simply give us a call at 1-877-myCEREC (69-23732), or email at: info@1hourtooth.com

 

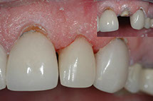
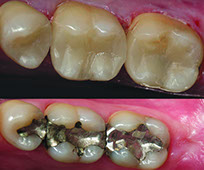
Before/After Photos

© 2010-2014 One Hour Tooth, L.L.C. All rights reserved.